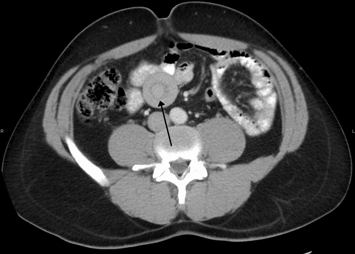
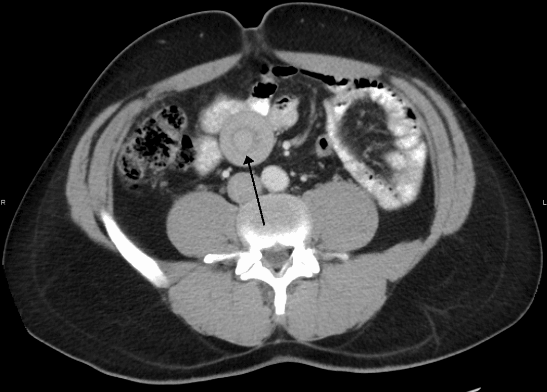
Intussusception is a medical condition in which a part of the intestine folds into the section immediately ahead of it. It typically involves the small bowel and less commonly the large bowel. Symptoms include abdominal pain which may come and go, vomiting, abdominal bloating, and bloody stool. It often results in a small bowel obstruction. Other complications may include peritonitis or bowel perforation. The cause in children is typically unknown; in adults a lead point is sometimes present. Risk factors in children include certain infections, diseases like cystic fibrosis, and intestinal polyps. Risk factors in adults include endometriosis, bowel adhesions, and intestinal tumors. Diagnosis is often supported by medical imaging. In children, ultrasound is preferred while in adults a CT scan is preferred. Intussusception is an emergency requiring rapid treatment. Treatment in children is typically by an enema with surgery used if this is not successful. Dexamethasone may decrease the risk of another episode. In adults, surgical removal of part of the bowel is more often required. Intussusception occurs more commonly in children than adults. In children, males are more often affected than females. The usual age of occurrence is six to eighteen months old. Early symptoms can include periodic abdominal pain, nausea, vomiting (sometimes green in color from bile), pulling legs to the chest area, and intermittent moderate to severe cramping abdominal pain. Pain is intermittent—not because the intussusception temporarily resolves, but because the intussuscepted bowel segment transiently stops contracting. Later signs include rectal bleeding, often with "red currant jelly" stool (stool mixed with blood and mucus), and lethargy. Physical examination may reveal a "sausage-shaped" mass, felt upon palpating the abdomen. Children, or those unable to communicate symptoms verbally, may cry, draw their knees up to their chest, or experience dyspnea (difficult or painful breathing) with paroxysms of pain.