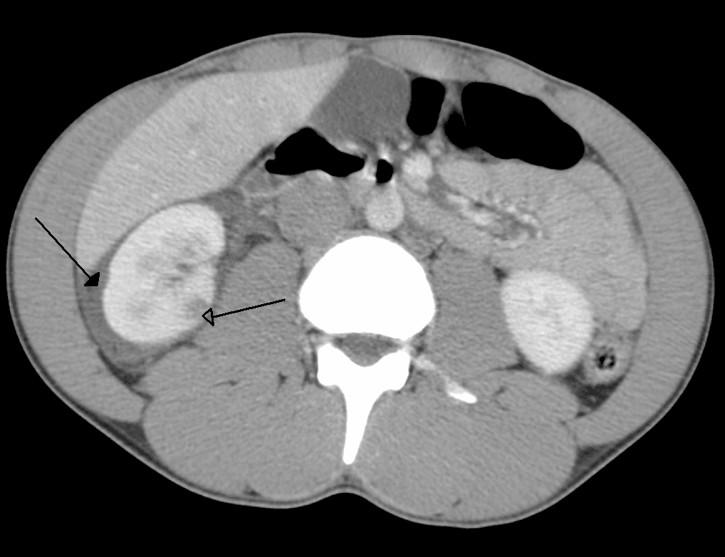
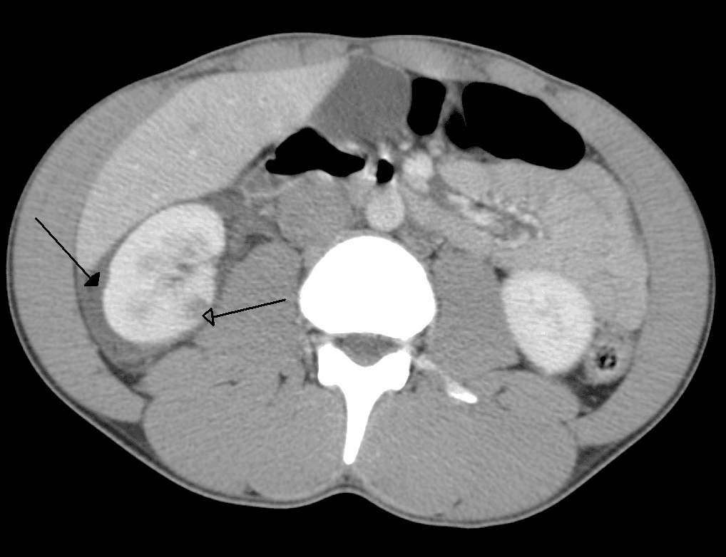
Abdominal trauma is an injury to the abdomen. Signs and symptoms include abdominal pain, tenderness, rigidity, and bruising of the external abdomen. Complications may include blood loss and infection. Diagnosis may involve ultrasonography, computed tomography, and peritoneal lavage, and treatment may involve surgery. It is divided into two types blunt or penetrating and may involve damage to the abdominal organs. Injury to the lower chest may cause splenic or liver injuries. Signs and symptoms are not seen in early days and after some days initial pain is seen. People injured in motor vehicle collisions may present with a "seat belt sign", bruising on the abdomen along the site of the lap portion of the safety belt; this sign is associated with a high rate of injury to the abdominal organs. Seatbelts may also cause abrasions and hematomas; up to 30 percent of people with such signs have associated internal injuries. Early indications of abdominal trauma include nausea, vomiting, blood in the urine, and fever. The injury may present with abdominal pain, tenderness, distension, or rigidity to the touch, and bowel sounds may be diminished or absent. Abdominal guarding is a tensing of the abdominal wall muscles to guard inflamed organs within the abdomen. Pneumoperitoneum, air or gas in the abdominal cavity, may be an indication of rupture of a hollow organ. In penetrating injuries, an evisceration (protrusion of internal organs out of a wound) may be present. Injuries associated with intra-abdominal trauma include rib fractures, vertebral fractures, pelvic fractures, and injuries to the abdominal wall. Motor vehicle collisions are a common source of blunt abdominal trauma. Seat belts reduce the incidence of injuries such as head injury and chest injury, but present a threat to such abdominal organs as the pancreas and the intestines, which may be displaced or compressed against the spinal column. Children are especially vulnerable to abdominal injury from seat belts, because they have softer abdominal regions and seat belts were not designed to fit them.