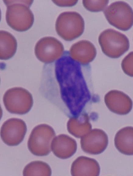
In immunology, reactive lymphocytes, variant lymphocytes, atypical lymphocytes, Downey cells or Türk cells are cytotoxic (CD8+) lymphocytes that become large as a result of antigen stimulation. Typically, they can be more than 30 μm in diameter with varying size and shape. == Discovery == It was originally described by W. Türk in 1907 in the peripheral blood of patients with infectious mononucleosis. Later in 1923 the features of the reactive lymphocytes were characterized in greater detail by Hal Downey and C.A. McKinlay, who also discovered the association with EBV and CMV. TOC Downey and McKinlay first described the atypical lymphocytes seen in cases of infectious mononucleosis. They further categorized the atypical lymphocytes of different etiologies under three subtypes: Type I as highly differentiated "leukocytoid lymphocyte", round-to-lobulated nucleus, mature clumped chromatin with or without nucleoli and with varying degree of basophilia in the cytoplasm. Type II as larger cells with round-to-lobulated nucleus, chromatin resembling that of plasma cells, moderate amount of cytoplasm with mild basophilia. Type III cells are large cells with a round to slightly indented nucleus, chromatin mostly immature with diffuse sieve-like arrangements and nucleoli. Downey type II cell is the most common type of reactive lymphocyte. In general, those cells may vary in morphologic detail as well as surface marker characteristics since this is the result of a polyclonal immune response to antigenic stimulation. All three types of Downey cells were observed along with some other variants such as larger cells with deeply convoluted nucleus, cells with crystalline rods and granules in the cytoplasm, flame cells, Mott cells, and some intermediate forms.
Hatice Altug, Alexander Mathis, George Coukos, Xiaokang Li, Yen-Cheng Liu, David Gfeller, Pedro Romero, Alexandre Harari, Amélie Cachot, Margaux Saillard, Georg Alexander Rockinger