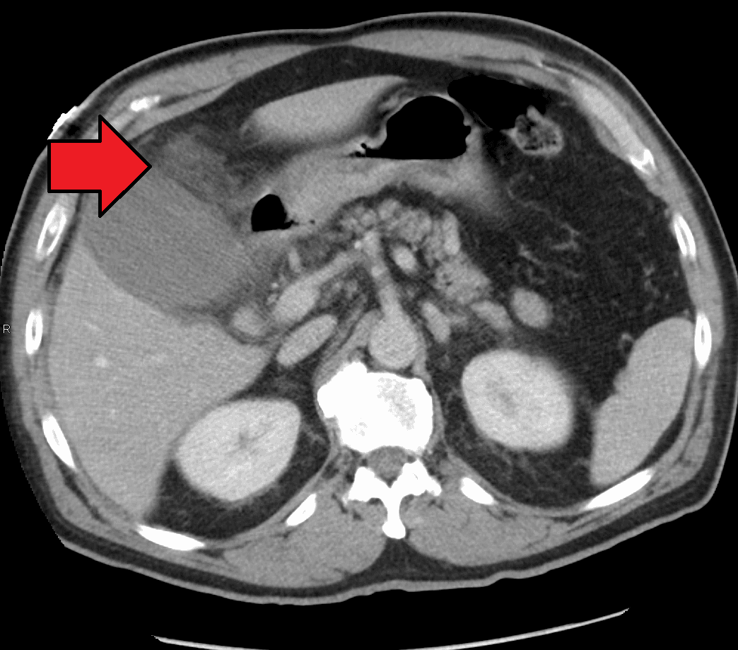
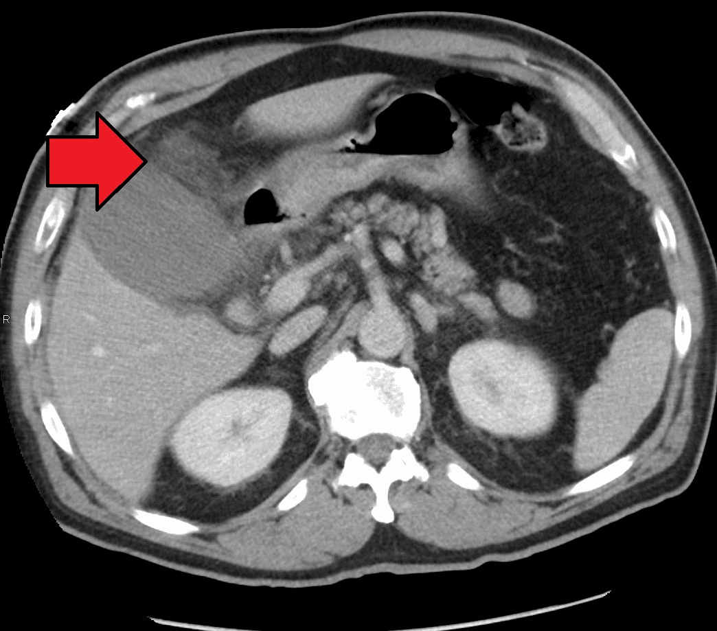
Cholecystitis is inflammation of the gallbladder. Symptoms include right upper abdominal pain, pain in the right shoulder, nausea, vomiting, and occasionally fever. Often gallbladder attacks (biliary colic) precede acute cholecystitis. The pain lasts longer in cholecystitis than in a typical gallbladder attack. Without appropriate treatment, recurrent episodes of cholecystitis are common. Complications of acute cholecystitis include gallstone pancreatitis, common bile duct stones, or inflammation of the common bile duct. More than 90% of the time acute cholecystitis is caused from blockage of the cystic duct by a gallstone. Risk factors for gallstones include birth control pills, pregnancy, a family history of gallstones, obesity, diabetes, liver disease, or rapid weight loss. Occasionally, acute cholecystitis occurs as a result of vasculitis or chemotherapy, or during recovery from major trauma or burns. Cholecystitis is suspected based on symptoms and laboratory testing. Abdominal ultrasound is then typically used to confirm the diagnosis. Treatment is usually with laparoscopic gallbladder removal, within 24 hours if possible. Taking pictures of the bile ducts during the surgery is recommended. The routine use of antibiotics is controversial. They are recommended if surgery cannot occur in a timely manner or if the case is complicated. Stones in the common bile duct can be removed before surgery by endoscopic retrograde cholangiopancreatography (ERCP) or during surgery. Complications from surgery are rare. In people unable to have surgery, gallbladder drainage may be tried. About 10–15% of adults in the developed world have gallstones. Women more commonly have stones than men and they occur more commonly after age 40. Certain ethnic groups are more often affected; for example, 48% of American Indians have gallstones. Of all people with stones, 1–4% have biliary colic each year. If untreated, about 20% of people with biliary colic develop acute cholecystitis. Once the gallbladder is removed outcomes are generally good.