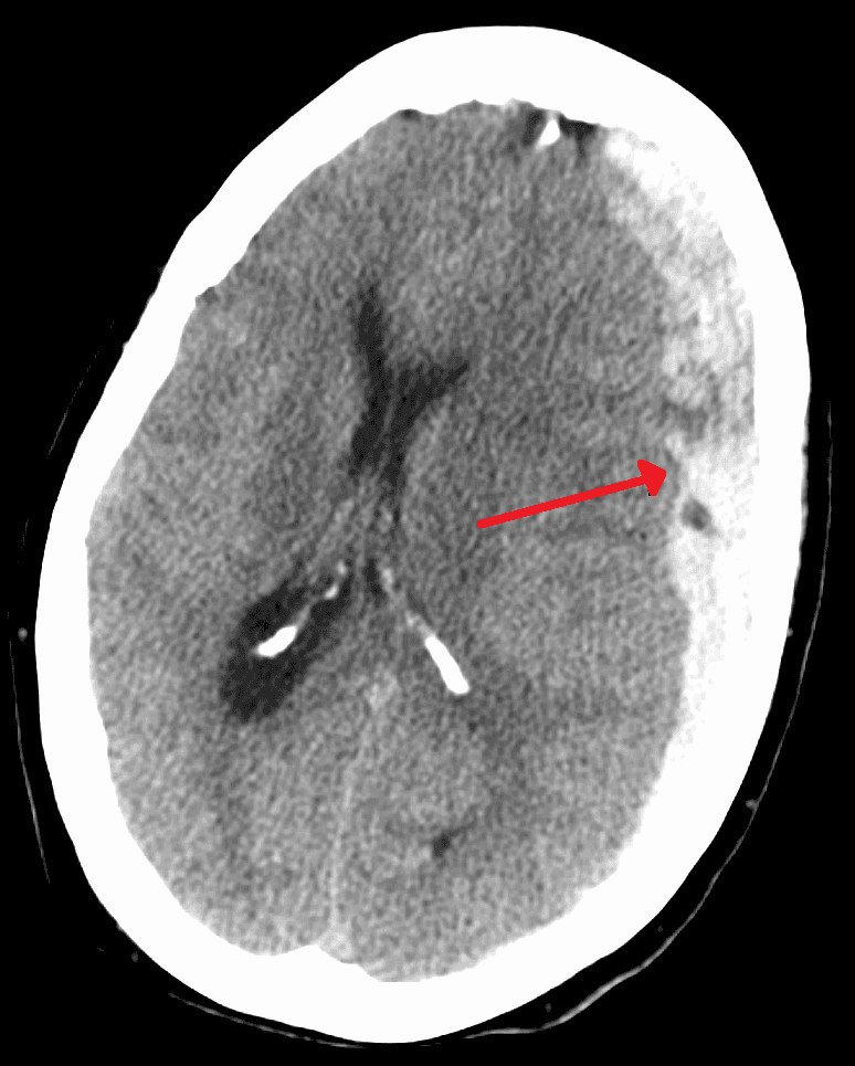
A subdural hematoma (SDH) is a type of bleeding in which a collection of blood—usually but not always associated with a traumatic brain injury—gathers between the inner layer of the dura mater and the arachnoid mater of the meninges surrounding the brain. It usually results from tears in bridging veins that cross the subdural space. Subdural hematomas may cause an increase in the pressure inside the skull, which in turn can cause compression of and damage to delicate brain tissue. Acute subdural hematomas are often life-threatening. Chronic subdural hematomas have a better prognosis if properly managed. In contrast, epidural hematomas are usually caused by tears in arteries, resulting in a build-up of blood between the dura mater and the skull. The third type of brain hemorrhage, known as a subarachnoid hemorrhage (SAH), causes bleeding into the subarachnoid space between the arachnoid mater and the pia mater. SAH are often seen in trauma settings, or after rupture of intracranial aneurysms. TOC The symptoms of a subdural hematoma have a slower onset than those of epidural hematomas because the lower-pressure veins involved bleed more slowly than arteries. Signs and symptoms of acute hematomas may appear in minutes, if not immediately, but can also be delayed as much as two weeks. Symptoms of chronic subdural hematomas are usually delayed more than three weeks after Injury. If the bleeds are large enough to put pressure on the brain, signs of increased intracranial pressure or brain damage will be present. Other symptoms of subdural hematoma can include any combination of the following: Loss of consciousness or fluctuating levels of consciousness Irritability Seizures Pain Numbness Headache (either constant or fluctuating) Dizziness Disorientation Amnesia Weakness or lethargy Nausea or vomiting Loss of appetite Personality changes Inability to speak or slurred speech Ataxia, or difficulty walking Loss of muscle control Altered breathing patterns Hearing loss or ringing in the ears (tinnitus) Blurred vision Deviated gaze, or abnormal movement of the eyes.
Dimitri Nestor Alice Van De Ville, Nicolas Gninenko