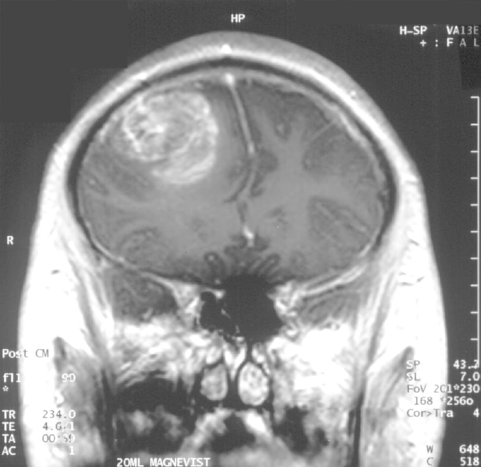
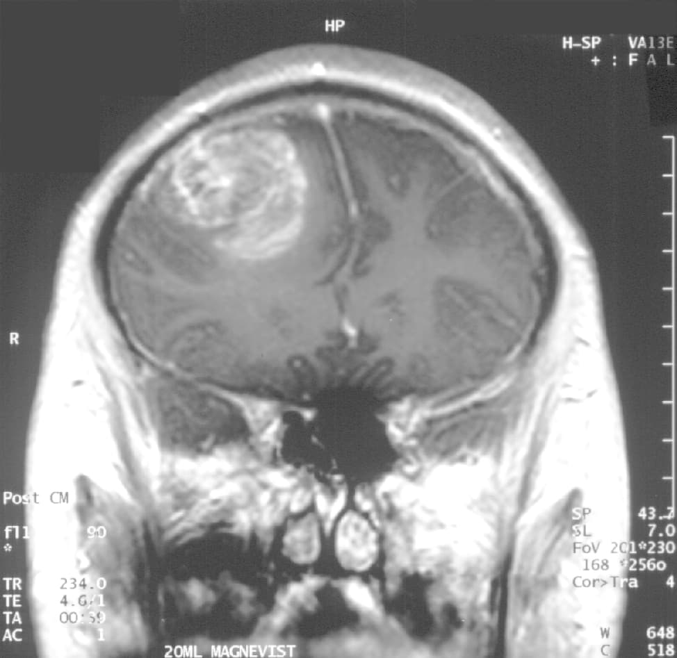
vignette | cérébrale avec injection de produit de contraste : Coupe frontale, glioblastome multiforme chez un enfant de 15 ans. vignette | cérébrale avec injection de produit de contraste, coupe sagittale, glioblastome multiforme chez un enfant de 15 ans. vignette | Aspect d'un glioblastome sur une lame d'histologie. Le (GBM) ou , également connu sous le nom d'« astrocytome de », est la tumeur primitive du cerveau la plus fréquente et la plus agressive. Le traitement peut comprendre de la chimiothérapie, de la radiothérapie et de la chirurgie. Ces mesures sont considérées comme palliatives, c'est-à-dire qu'elles ne permettent pas la guérison. L'espérance de vie à cinq ans de cette maladie a peu évolué ces trente dernières années, et ne dépasse pas les dix pour cent. Même avec une résection chirurgicale complète de la tumeur, combinée aux meilleurs traitements disponibles, le taux de survie au reste très faible. Le glioblastome multiforme (GBM) représente 70 % des tumeurs primitives malignes du cerveau aux États-Unis et 20 % de toutes les tumeurs intracrâniennes. Le reste rare et ne représente que pour en Europe et en Amérique du Nord. Presque tous les cas de sont sporadiques, sans prédisposition familiale, même si des anomalies chromosomiques somatiques (non constitutionnelles, c'est-à-dire non transmissibles) comme la mutation des gènes PTEN, MDM2, et P53 sont fréquemment rencontrées dans ces tumeurs. Des signaux anormaux des facteurs de croissance associés aux gènes , et sont également perçus. Une délétion du gène , codant un inhibiteur du système , entraîne une surexpression de ce dernier et serait une voie d'activation des glioblastomes. La cause peut être en lien avec un déséquilibre entre des facteurs répresseurs de tumeurs et pro-angiogéniques. Les glioblastomes multiformes sont caractérisés par la présence de petites zones de tissu nécrosé entourées de cellules hautement anaplasiques. Cette caractéristique différencie la tumeur des astrocytomes de , qui ne possèdent pas ces zones de tissu nécrosé.
Elena Goun, Pavlo Khodakivskyi