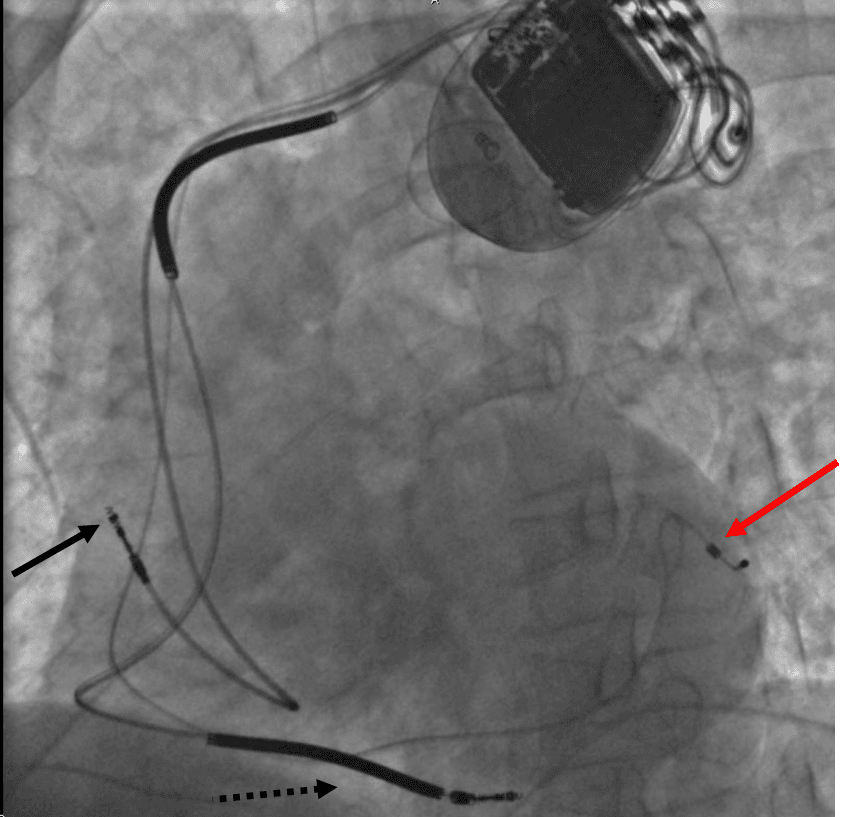
vignette|Stimulateur cardiaque posé pour une resynchronisation cardiaque. La resynchronisation cardiaque est une technique de traitement de l'insuffisance cardiaque par pose d'un stimulateur cardiaque spécial permettant la délivrance d'une stimulation électrique simultanée sur plusieurs points des ventricules. Elle est appelée également stimulation multisite. Cette fonction de resynchronisation peut être couplée à une fonction de défibrillateur automatique implantable, donnant un défibrillateur multi site. Depuis les premières publications de l’équipe française du Val d'Or dès 1995, la stimulation cardiaque multisite s’est imposée comme un traitement incontournable de certains cas d'insuffisance cardiaque systolique. Les premiers stimulateurs multisites étaient de simples stimulateurs cardiaques dont la sortie ventriculaire était dédoublée, permettant de brancher deux sondes à ce niveau. Les premières études se sont surtout attachées à démontrer l’efficacité de la stimulation multisite pour soulager les symptômes. Ainsi, on voit s’améliorer le périmètre de marche, les scores de qualité de vie et la classe NYHA. Par la suite, il a été montré l’amélioration de critères plus objectifs tels que la VO2max et à un moindre degré la fraction d’éjection. Parallèlement le nombre d’hospitalisations pour décompensation cardiaque congestive est réduit. Enfin, en 2009, l’étude Care-HF a montré une réduction de la mortalité par la stimulation multisite Le ventricule gauche se contracte idéalement de manière synchrone, c'est-à-dire, chaque paroi de manière simultanée. Lorsqu'une ou plusieurs parois se contractent de manière retardé, l'efficacité mécanique est bien moindre et le débit cardiaque peut chuter de ce fait. Cet asynchronisme se traduit de manière électrique par un bloc de branche sur l'électrocardiogramme, c'est-à-dire, par un élargissement du QRS, onde en rapport avec la dépolarisation des ventricules. En imagerie, cet asynchronisme peut être directement visualisé en échocardiographie ou en scintigraphie.
Alfio Quarteroni, Andrea Manzoni