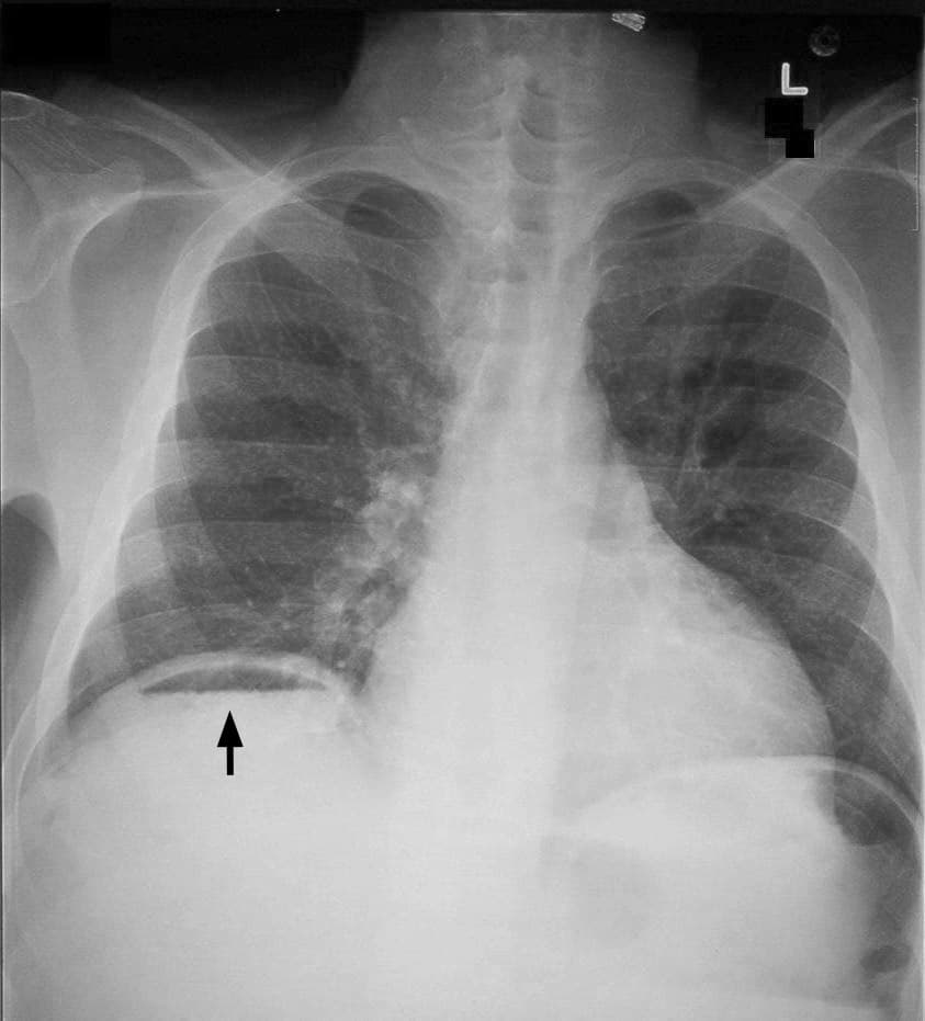
Dans le domaine de la gastro-entérologie, un pneumopéritoine (pneumopéritoine gynécologique, pneumopéritoine pathologique, pneumopéritoine provoqué, pneumopéritonite) correspond à l'entrée d'air ou de gaz dans la cavité de l'abdomen (cavité péritonéale). Cet air provient le plus souvent de la perforation d'un organe digestif creux, tel que l'estomac, l'intestin grêle ou encore le côlon. Il décolle les deux feuillets du péritoine : le feuillet pariétal (qui tapisse la paroi de l'abdomen) ; le feuillet viscéral (qui entoure les viscères abdominaux). Un pneumopéritoine de faible volume est le plus souvent asymptomatique. Il est avant tout suspecté dans un contexte clinique. La radiographie (abdomen sans préparation (ASP) et/ou cliché debout de face, centré sur les coupoles diaphragmatiques) permet généralement de faire le diagnostic, le pneumopéritoine apparaissant comme un croissant radio transparent sous-diaphragmatique, uni ou bilatéral et de taille variable. Cependant, un pneumopéritoine de faible abondance peut facilement passer inaperçu a la radiographie. C'est pourquoi la tomodensitométrie (ou scanner abdominal) est aujourd'hui considérée comme l'examen de référence pour son diagnostic. La tomodensitométrie permet de rendre visible des volumes aussi faibles que d'air ou de gaz. On distingue : le pneumopéritoine pathologique, dont la cause la plus fréquente est la perforation accidentelle ou pathologique d'un viscère abdominal, par exemple à la suite d'un ulcère gastro-duodénal ayant perforé la paroi de l'estomac, ou encore une diverticulite sigmoïdienne perforée. Cependant, toute partie du tube digestif peut également se voir perforée par de nombreuses maladies, dont par exemple une tumeur ou encore un traumatisme abdominal. Le pneumopéritoine rentre alors dans le cadre d'une pneumopéritonite (du grec -itis [-ite], désignant l'inflammation), cas le plus fréquent en pratique médicale. Une perforation de l'appendice provoque toutefois rarement un pneumopéritoine ; le pneumopéritoine provoqué, qui peut être délibérément créé par une équipe chirurgicale en vue d'exécuter une chirurgie laparoscopique.