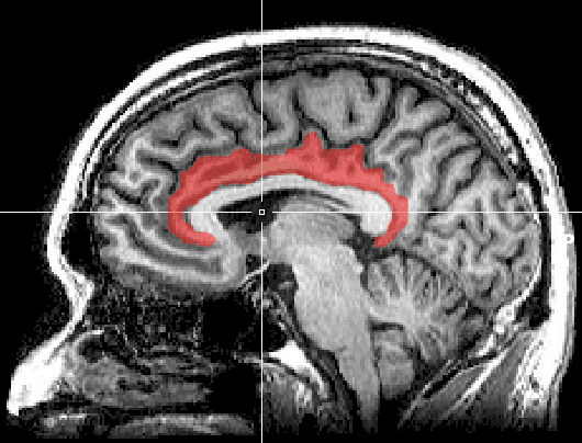
Le gyrus cingulaire est un gyrus du lobe limbique du cortex cérébral. Il est situé sur la face médiale des hémisphères, au-dessus du corps calleux. Au-dessus, il est séparé du gyrus frontal supérieur par le sillon cingulaire et du précuneus par le sillon sous-pariétal. En dessous, sa limite est le sillon du corps calleux. Au niveau du splénium du corps calleux, le gyrus cingulaire se rétrécit dans l'isthme qui se poursuit par le gyrus parahippocampique. En latin, cingulum signifie « ceinture » (Gaffiot). L'ensemble gyrus cingulaire, gyrus parahippocampique et diverses formations olfactives forment un anneau presque fermé qui s'appelle gyrus fornicatus (en latin, fornicatus signifie « voûté, cintré »). Le cortex cingulaire est une structure hétérogène, qui peut être divisée en plusieurs parties différentes quand on prend en compte la cytoarchitecture, les connexions et les fonctions. La division du cortex cingulaire en deux parties, l'antérieure et la postérieure, a été proposée par Korbinian Brodmann en 1909 sur la base d'une différence anatomique et en ignorant les fonctions de ces régions. Ce n'est qu'un siècle plus tard, grâce à la , que l'on commence à localiser les réponses fonctionnelles. Mais ces études ne permettent pas de tirer des conclusions sur les bases cytoarchitecturales des observations fonctionnelles et la division binaire de Brodmann continuant à être prise à la lettre, il en est résulté une profusion incohérente de dénominations des divisions Les deux divisions principales sont classiquement désignées : le cortex cingulaire antérieur CCA, qui consiste dans les aires de Brodmann 24 et 25, le cortex cingulaire postérieur CCP, qui consiste dans les aires de Brodman 29, 30, 23, et 31, assure des fonctions « évaluatives ». Parfois la région retrospleniale formée des aires 29 et 30 est considérée à part. Vogt (1993) a proposé une nouvelle division en quatre parties : le cortex cingulaire antérieur, CCA le cortex cingulaire moyen, CCM le cortex cingulaire retrosplenial, CRS le cortex cingulaire postérieur, CCP On peut diviser le gyrus cingulaire en quatre grandes parties, chacune d'elles accomplissant des tâches spécifiques.
Valerio Zerbi, Joanes Grandjean
Olaf Blanke, Lukas Heydrich, Eva Blondiaux
Jean-Philippe Thiran, Gabriel Girard, Elda Fischi Gomez, Liana Okudzhava