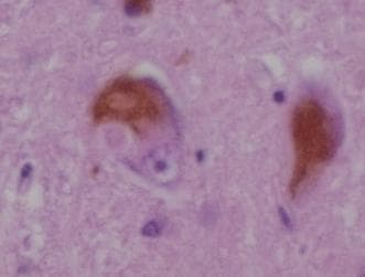
Les corps de Lewy sont des agrégats anormaux de protéines qui se forment à l'intérieur des cellules nerveuses au cours de la maladie de Parkinson (MP), de la maladie à corps de Lewy et de certaines autres maladies neurodégénératives. Ils sont identifiés au microscope sur des coupes histologiques du cerveau. Les corps de Lewy apparaissent sous la forme de masses sphériques qui refoulent les organites intracellulaires. On en distingue deux types morphologiques : les corps de Lewy de type classique (situés dans le tronc cérébral) et les corps de Lewy corticaux. Les corps de Lewy classiques sont des inclusions cytoplasmiques éosinophiles composées d'un centre dense entouré d'un halo de fibrilles radiantes de de largeur dont le constituant primaire est l'α-synucléine. En revanche, les corps de Lewy corticaux sont moins bien définis et ne possèdent pas de halo, bien que constitués également de fibrilles d'α-synucléine. Les corps de Lewy corticaux sont caractéristiques de la maladie à corps de Lewy et peuvent aussi s'observer occasionnellement au sein des neurones ballonisés dans la maladie de Pick et dans la dégénérescence cortico-basale ainsi que dans d'autres tauopathies. On peut aussi les voir dans certains cas d'atrophie multisystématisée, notamment dans les variantes avec parkinsonisme. Les corps de Lewy ont été décrits par le neuropathologiste allemand Friedrich Heinrich Lewy en 1912. Un corps de Lewy est composé de la protéine alpha-synucléine associé à d'autres protéines comme l'ubiquitine, de neurofilament et de cristalline alpha B. Il est possible de la protéine Tau soit aussi présente, il est possible que les corps de Lewy soit occasionnellement entourés d'enchevêtrements neurofibrillaire. On estime que les corps de Lewy représentent un aggresome, une réponse cellulaire. Similairement aux corps de Lewy, les neurites de Lewy sont des formations protéiniques retrouvés dans les neurones du cerveau pathologique, comprenant des filaments de protéines alpha-synucléine anormales et du matériel granuleux. Ce sont d
Henning Paul-Julius Stahlberg, Amanda Jennifer Lewis, Marta Di Fabrizio, Domenic Burger, Carolin Böing
Hilal Lashuel, Johannes Burtscher, Melek Firat Altay, Somanath Jagannath
Olaf Blanke, Fosco Bernasconi, Jevita Potheegadoo